Bệnh tuyến vú là những thay đổi bất thường xảy ra ở tuyến vú. Hầu hết phụ nữ đều có các thay đổi ở ngực vào một thời điểm nào đó. Tuổi tác, thai sản, nội tiết tố nữ và một số loại thuốc,… có thể gây các thay đổi trên tuyến vú. Những thay đổi về hình thái như phì đại hay sa trễ tuyến vú cũng gây khó khăn trong tầm soát ung thư vú, ảnh hưởng đến tâm lý, khiến nhiều chị em phụ nữ lo lắng. Nhiều người lo sợ các vấn đề ở vú là dấu hiệu của ung thư, tuy nhiên không phải triệu chứng nào cũng biểu hiện của bệnh ác tính của tuyến vú. Dưới đây là một số bệnh tuyến vú phổ biến hiện nay:
Dưới đây là một số thông tin về tình trạng, dấu hiệu nhận biết, cách để phòng ngừa và hỗ trợ điều trị các căn bệnh tuyến vú trên.
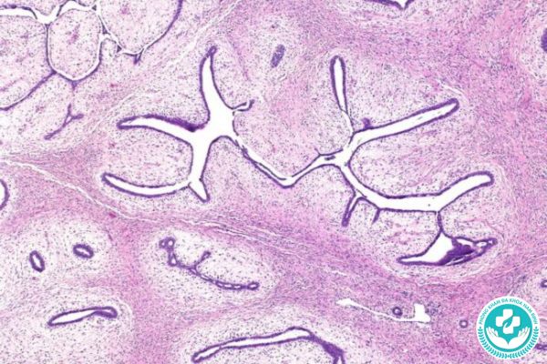
Bệnh u diệp thể tuyến vú
U diệp thể tuyến vú là một loại khối u hiếm gặp phát triển trong mô liên kết của vú. Khi nghĩ đến mô vú, bạn có thể nghĩ nhiều hơn đến mô mỡ tạo nên thể tích của vú hoặc mô tuyến tạo ra sữa. Mô liên kết là mô xơ, hỗ trợ giữ các mô khác ở đúng vị trí.
Các khối u diệp thể được tạo ra từ mô liên kết này. U có tính chất dai và có dạng sợi, giống như mô sẹo. Dưới kính hiển vi, u có hình dạng giống như chiếc lá nên có tên gọi là diệp thể trong tiếng Hy Lạp.

Bệnh u diệp thể tuyến vú
Dấu hiệu nhận biết bệnh u diệp thể tuyến vú
Bạn có thể nhận biết dấu hiệu của u diệp thể tuyến vú là một khối u cứng, trơn láng, được giới hạn rõ ở vú. Khối u diệp thể thường lớn hơn 3 cm và có thể lớn hơn nhiều đến 20-30 cm. U diệp thể có thể phát triển nhanh chóng trong vài tuần. Nếu nó làm căng da của bạn, vùng da trên nó có thể trông sáng bóng, màu đỏ hoặc mờ hoặc có thể bị đau.
Các khối u diệp thể ác tính có thể kèm theo các triệu chứng do bướu to chèn ép hoặc lâu ngày bướu có thể hoá bọc, xuất huyết bên trong, vỡ ra da,… làm người bệnh mệt mỏi, thiếu máu, đau nhức hoặc nhiễm trùng. Hiếm có khi u diệp thể ác di căn phổi có các triệu chứng của hô hấp.
Nguyên nhân gây bệnh u diệp thể tuyến vú
Nguyên nhân gây u diệp thể tuyến vú hiện vẫn chưa xác định được. Phụ nữ mắc bệnh di truyền hiếm gặp gọi là hội chứng Li-Fraumeni có nguy cơ cao xuất hiện khối u diệp thể. Khối u này có thể xảy ra ở mọi lứa tuổi nhưng phổ biến ở tuổi trung niên 40 – 50 tuổi.
Bệnh u diệp thể tuyến vú có nguy hiểm không?
U diệp thể tuyến vú rất hiếm khi ảnh hưởng đến toàn thân và hầu hết các trường hợp u diệp thể đều có thể hỗ trợ điều trị tốt. Nếu toàn bộ khối u này được loại bỏ, phẫu thuật đủ rộng có thể chữa khỏi và dễ dàng hơn khi u chưa lan ra ngoài khối u ban đầu. Tuy nhiên, khi u diệp thể ác di căn thì việc hỗ trợ điều trị sẽ khó khăn hơn nhiều, nhưng tình huống này rất hiếm và có thể được hỗ trợ điều trị bằng hóa trị toàn thân, nhưng phương pháp này không có tác dụng tốt đối với các khối u diệp thể ác di căn.
Ngay cả khi phẫu thuật đủ rộng thì u diệp thể vẫn có thể tái phát trở lại. Cả khối u diệp thể lành tính và ác tính đều có thể tái phát thậm chí nhiều năm sau khi được cắt bỏ. Điều may mắn là ngay cả khi u diệp thể tái phát thì việc loại bỏ khối u mới với phạm vi rộng hơn xung quanh thường có tác dụng chữa khỏi và hiếm khi di căn hạch hay di căn xa như các loại ung thư vú khác. Tuy nhiên, có tới 30% số người mắc khối u diệp thể ác dạng ung thư ở vú có thể chết vì căn bệnh này.

Bệnh u diệp thể tuyến vú có nguy hiểm không?
Chẩn đoán bệnh u diệp thể tuyến vú
Để chẩn đoán người bệnh u diệp thể tuyến vú, bác sĩ khoa Ngoại Vú sẽ khám vú và xem tính chất của u. Từ đó, các bác sĩ sẽ chỉ định các xét nghiệm cần thiết loại trừ các khối u khác ở vú cũng như phân biệt khối u diệp thể với sợi u tuyến. Các xét nghiệm có thể được yêu cầu là:
-
Sinh thiết lõi.
-
Siêu âm vú.
-
Nhũ ảnh.
-
Xét nghiệm khác.
hỗ trợ điều trị bệnh u diệp thể tuyến vú như thế nào?
Một số phương pháp hỗ trợ điều trị bệnh u diệp thể tuyến vú, bao gồm:
Cách phòng tránh bệnh u diệp thể tuyến vú
Người bị u diệp thể tuyến vú có thể phòng ngừa và chăm sóc căn bệnh bằng cách tiếp tục theo dõi tình trạng sức khỏe sau khi quá trình hỗ trợ điều trị tại bệnh viện kết thúc. Bác sĩ sẽ cho bạn biết những cuộc hẹn tiếp theo tùy vào việc hỗ trợ điều trị và mức độ của phẫu thuật trước đó.
Điều quan trọng là bạn phải nhận biết rõ về vị trí u ban đầu và tuyến vú sau hỗ trợ điều trị. Hãy gọi cho bác sĩ hoặc quay lại gặp bác sĩ nếu bạn nhận thấy bất kỳ thay đổi nào ở ngực, bất kể bạn nhận thấy chúng sớm như thế nào sau khi chẩn đoán khối u diệp thể.
Bệnh viêm tuyến vú
Viêm tuyến vú là tình trạng viêm của mô tuyến vú đôi khi có liên quan đến nhiễm trùng. Tình trạng viêm này làm cho vú sưng, nóng, đỏ và đau, đôi khi có thể bị sốt và ớn lạnh. Viêm tuyến vú thường xảy ra ở phụ nữ đang cho con bú (viêm tuyến vú do tiết sữa), nhưng cũng có thể xảy ra ở phụ nữ không cho con bú và ở nam giới.
Viêm tuyến vú do cho con bú có thể khiến bạn cảm thấy mệt mỏi, kiệt sức, gây khó khăn cho việc chăm sóc em bé. Đôi khi bệnh viêm tuyến vú khiến người mẹ phải cai sữa cho con trước dự định. Việc tiếp tục cho con bú ngay cả khi đang dùng thuốc kháng sinh hỗ trợ điều trị viêm tuyến vú có thể lại tốt hơn cho cả mẹ và bé.

Bệnh viêm tuyến vú
Dấu hiệu nhận biết bệnh viêm tuyến vú
Bạn có thể nhận biết bệnh viêm tuyến vú thông qua các dấu hiệu và triệu chứng có thể xuất hiện đột ngột như:
-
Mô vú dày lên hoặc có khối u ở vú.
-
Vú sưng tấy lên.
-
Sờ vào vú cảm thấy ấm, nóng.
-
Một mảng đỏ da, thường có dạng hình nêm.
-
Cảm giác đau hoặc nóng rát xuất hiện liên tục hoặc khi cho con bú.
-
Sốt từ 38,5 độ C.
Nguyên nhân gây bệnh viêm tuyến vú
-
Tắc ống dẫn sữa.
-
Do vi khuẩn xâm nhập vào tuyến vú.
-
Từng bị viêm tuyến vú trước đó khi đang cho con bú.
-
Núm vú bị đau hoặc nứt.
-
Mặc áo ngực chật hoặc tạo áp lực lên ngực.
-
Kỹ thuật chăm sóc không đúng cách.
-
Quá căng thẳng hoặc mệt mỏi.
-
Dinh dưỡng kém.
-
Hút thuốc lá.
Bệnh viêm tuyến vú có nguy hiểm không?
Viêm tuyến vú không được hỗ trợ điều trị đầy đủ hoặc do tắc ống dẫn sữa có thể gây ra một khối mủ (áp xe) phát triển trong tuyến vú của bạn. Áp xe thường cần phẫu thuật dẫn lưu. Để tránh biến chứng này, hãy nói chuyện với bác sĩ ngay khi bạn xuất hiện các dấu hiệu hoặc triệu chứng của bệnh viêm tuyến vú.

Bệnh viêm tuyến vú có nguy hiểm không?
Chẩn đoán bệnh viêm tuyến vú
Bác sĩ sẽ khám sức khỏe toàn diện cũng như hỏi về các dấu hiệu và triệu chứng của bạn. Cấy vi khuẩn sữa mẹ có thể giúp bác sĩ xác định loại kháng sinh cho bạn, đặc biệt nếu bạn bị nhiễm trùng nặng.
hỗ trợ điều trị bệnh viêm tuyến vú như thế nào?
hỗ trợ điều trị viêm tuyến vú có thể bao gồm:
-
Sử dụng thuốc kháng sinh.
-
Sử dụng thuốc giảm đau.
-
Tiếp tục cho con bú.
-
Tránh để vú của mẹ đầy sữa.
-
Đảm bảo rằng em bé ngậm vú đúng cách.
-
Xoa bóp vú trong khi cho con bú hoặc vắt sữa.
-
Đảm bảo bầu vú không còn sữa thừa sau khi cho con bú.
-
Nên cho con bú ở ngực bị tắc tia sữa.
-
Thay đổi tư thế cho con bú.
-
Chườm lạnh hoặc túi nước đá lên ngực sau khi cho con bú.
-
Mặc áo ngực hỗ trợ.
-
Nghỉ ngơi càng nhiều càng tốt
Cách phòng tránh bệnh viêm tuyến vú
Để quá trình nuôi con bằng sữa mẹ có khởi đầu với bé và để tránh các biến chứng như viêm tuyến vú thì hãy cân nhắc gặp chuyên gia tư vấn cho con bú để có những lời khuyên về kỹ thuật cho con bú đúng cách. Ngoài ra, bạn cũng có thể giảm thiểu khả năng bị viêm tuyến vú bằng cách làm theo các lưu ý sau:
-
Hút hết sữa ra khỏi tuyến vú mỗi khi cho con bú xong.
-
Trong khi bú, cho bé bú hết một bên vú trước khi chuyển sang vú bên kia.
-
Thay đổi tư thế bạn dùng để cho con bú từ lần bú này sang lần bú tiếp theo.
-
Hãy rằng em bé ngậm vú đúng cách trong khi bú.
-
Nếu bạn hút thuốc, hãy hỏi bác sĩ về việc cai thuốc lá.
Bệnh phì đại tuyến vú
Phì đại tuyến vú là tình trạng khi các sợi mô tuyến vú phát triển to nhanh và nặng vượt quá mức bình thường (>3% trọng lượng cơ thể), có thể xảy ra 1 bên hoặc cả 2 bên ngực. Đa phần các khối u sợi này đều khá lành tính, nhưng lại khiến vóc dáng mất cân đối và tiềm ẩn nhiều nguy hại.

Bệnh phì đại tuyến vú
Dấu hiệu nhận biết bệnh phì đại tuyến vú
Phì đại tuyến vú thường có những dấu hiệu nhận biết sau đây:
-
Ban đầu núm vú to ra, sờ có cảm giác chính giữa có thể có nhân to, chắc, rắn.
-
Nhân càng ngày lan ra thành một quầng có thể di chuyển được, sờ như một tấm đệm lót ở trong vú.
-
Thể tích bầu ngực lớn gấp nhiều lần.
-
Ngực bị xệ, mức độ phì đại càng lớn thì độ sa trễ càng nặng.
-
Làn da vùng ngực bị rạn và nhão.
-
Đau vú.
-
Đau ở lưng, vai, cổ.
-
Nhiễm trùng hoặc áp xe.
-
Mất cảm giác núm vú.
-
Đỏ, ngứa, ấm trên hoặc dưới vú.
Nguyên nhân gây bệnh phì đại tuyến vú
Nguyên nhân chính xác vẫn chưa được khẳng định, có một số giả thuyết bao gồm:
-
Tăng lượng hormone bất thường (Estrogen, Prolactin).
-
Cơ thể bị tăng độ nhạy cảm với tuyến nội tiết.
-
Nồng độ hormone tăng trưởng tiết ra quá ngưỡng cần thiết.
-
Tăng sinh mô mỡ, mô đệm ngực hoặc mô tuyến vú do thói quen sống hoặc di truyền.
-
Các yếu tố khác: mang thai, stress, béo phì, tiền mãn kinh,…
Bệnh phì đại tuyến vú có nguy hiểm không?
Đây là câu hỏi quan tâm của chị em khi gặp chứng bệnh này, liệu chứng phì đại tuyến vú có ảnh hưởng đến sức khỏe và biến chứng gì không? Thực tế, 80% tình trạng phì đại vú không gây ra đau đớn hay tổn thương gì cho người bệnh. Tuy nhiên, phì đại tuyến vú lại có nhiều hệ quả xấu, ảnh hưởng đến thẩm mỹ và tiềm ẩn nhiều nguy hại cho sức khỏe.
-
Mất thẩm mỹ.
-
Cơ thể mất cân đối.
-
Đau mỏi vai và cổ, mỏi lưng, tê nhức tay, đau đầu.
-
Xương sống lưng có xu hướng cong về phía trước.
-
Chọn trang phục và chọn áo ngực phù hợp rất khó.
-
Khó khăn bất tiện trong sinh hoạt.
-
Cảm giác khó thở.
-
Dễ bị mất cảm giác ở đầu núm vú.
-
Núm vú thường bị phì đại.
-
Viêm loét nếp vú.
-
Da vú bị rạn và nhão.
-
Phát ban vùng da quanh vú.

Bệnh phì đại tuyến vú có nguy hiểm không?
Chẩn đoán bệnh phì đại tuyến vú
Để chẩn đoán về phì đại tuyến vú và đưa ra hướng hỗ trợ điều trị hợp lý, bác sĩ sẽ kết hợp việc thăm khám lâm sàng và các phương pháp xét nghiệm khác, bao gồm:
hỗ trợ điều trị bệnh phì đại tuyến vú như thế nào?
Sau khi bác sĩ thăm khám cho bệnh nhân và tiến hành làm các xét nghiệm cần thiết, để chẩn đoán bệnh và đưa ra phương pháp hỗ trợ điều trị phù hợp cho phì đại tuyến vú.
Cách phòng tránh bệnh phì đại tuyến vú
Phì đại tuyến vú là một tình trạng mà tuyến vú phát triển quá mức, gây ra sự không thoải mái và có thể dẫn đến các vấn đề sức khỏe nghiêm trọng. Để hạn chế diễn tiến của phì đại tuyến vú, có thể áp dụng những thói quen sinh hoạt sau:
-
Duy trì cân nặng hợp lý.
-
Giảm áp lực công việc và lo lắng quá mức.
-
Thăm khám và kiểm tra sức khỏe định kỳ.
-
Tập thể dục thường xuyên giúp giảm căng thẳng, áp lực như yoga, ngồi thiền.
-
Ngủ đủ giấc 7 - 8 tiếng/ngày giúp duy trì hệ miễn dịch khỏe mạnh.
-
Bổ sung thực phẩm giàu chất xơ như rau xanh, các loại hạt, và trái cây tươi.
-
Giảm tiếp xúc với các chất có chứa phytoestrogen.
-
Tránh và hạn chế sử dụng rượu bia.
-
Hạn chế ăn chất béo và duy trì cân nặng khỏe mạnh.
Bệnh vôi hóa vú
Vôi hóa vú là hiện tượng canxi tích tụ, phát triển trong mô vú, không gây đau và rất nhỏ nên không thể sờ thấy. Vì vậy, người bệnh có thể không biết mình có sang thương vôi hóa trừ khi chụp nhũ ảnh (X-quang tuyến vú).
Vôi hóa thường vô hại nhưng có thể là dấu hiệu sớm của các tế bào bất thường đang phát triển trong mô vú. Kích thước, hình dạng và sự phân bố của vôi hóa có thể là dấu hiệu của tình trạng lành tính hoặc cần xét nghiệm thêm để loại trừ bệnh ác tính.

Bệnh vôi hóa vú
Dấu hiệu nhận biết bệnh vôi hóa vú
Vôi hóa tuyến vú thường không gây triệu chứng, kích thước quá nhỏ nên không thể cảm nhận khi khám vú. Người bệnh chỉ có thể biết mình có vôi hóa khi chụp nhũ ảnh định kỳ.
Nguyên nhân gây bệnh vôi hóa vú
Các nhà nghiên cứu không biết nguyên nhân gây vôi hóa nhưng có một số cách giải thích về tình trạng này. Sự lắng đọng canxi được hình thành để đáp ứng cho các hoạt động khác có thể ảnh hưởng đến mô vú. Vôi hóa vú lành tính thường liên quan đến:
Bệnh vôi hóa vú có nguy hiểm không?
Tình trạng vôi hóa vú khá phổ biến, phần lớn không phải ung thư. Ngay cả phụ nữ được chẩn đoán vôi hóa vĩ mô cũng không có nguy cơ mắc ung thư vú. Những vôi hóa đại thể không liên quan đến sự phát triển ung thư vú. Nếu vi vôi hóa xuất hiện thành các đường hoặc cụm nhỏ, phụ nữ có nguy cơ mắc ung thư vú cao hơn.
Trong những trường hợp này, bác sĩ sẽ đề nghị xét nghiệm bổ sung. Nếu kết quả sinh thiết không cho thấy ung thư, các cụm vi vôi hóa này sẽ được so sánh hàng năm để kịp thời phát hiện những thay đổi bất thường. Sinh thiết bổ sung chỉ cần thiết khi phát hiện 1 vùng vi vôi hóa mới hoặc có sự thay đổi so với kết quả chụp nhũ ảnh trước đó của người bệnh.
Các bác sĩ chẩn đoán hình ảnh không muốn gây lo lắng cho người bệnh nhưng sẽ thận trọng để phát hiện sớm ung thư vú.. Điều quan trọng là sàng lọc ung thư vú định kỳ. Trao đổi với bác sĩ để được chỉ định phương pháp khám sàng lọc phù hợp với phụ nữ trước 35 tuổi.

Bệnh vôi hóa vú có nguy hiểm không?
Chẩn đoán bệnh vôi hóa vú
Hầu hết vôi hóa vú đều lành tính và không cần theo dõi đặc biệt. Tuy nhiên, trong một số trường hợp, tình trạng này có thể là dấu hiệu bất thường của tuyến vú. Ví dụ, nếu kết quả chụp nhũ ảnh cho thấy cụm vôi hóa dày đặc hoặc những đốm trắng nhỏ trên 1 đường, bác sĩ sẽ đề nghị xét nghiệm bổ sung để loại trừ ung thư. Các xét nghiệm gồm:
hỗ trợ điều trị bệnh vôi hóa vú như thế nào?
Hầu hết các nguyên nhân gây vôi hóa vú đều lành tính. Bác sĩ chẩn đoán hình ảnh sẽ xem phim chụp nhũ ảnh của bạn trước đó và đối chiếu với kết quả hiện tại để so sánh và xem liệu vôi hóa có thay đổi hay không.
Nếu 1 hoặc nhiều xét nghiệm tiếp theo cho thấy tình trạng vôi hóa bất thường hoặc biểu hiện của ung thư, người bệnh nên đến gặp bác sĩ khoa Ngoại Vú để được tư vấn hỗ trợ điều trị. Các lựa chọn hỗ trợ điều trị có thể bao gồm:
-
Theo dõi để xem có bất kỳ thay đổi nào đáng lo ngại không.
-
Loại bỏ mô vú 1 phần dưới hướng dẫn của nhũ ảnh
-
Vôi hóa ác tính sẽ hỗ trợ điều trị tương tự ung thư vú.
-
Người bệnh cần thảo luận về kết quả và lựa chọn phương pháp hỗ trợ điều trị với bác sĩ khoa Ngoại Vú.
Cách phòng tránh bệnh vôi hóa vú
Không thể ngừa tình trạng vôi hóa vú nhưng việc phát hiện sớm qua chụp nhũ ảnh có thể giúp xác định những dấu hiệu bất thường ở tuyến vú. Do đó, bạn có thể phòng tránh bệnh vôi hóa vú bằng cách tự kiểm tra vú cũng như thăm khám phụ khoa định kỳ.
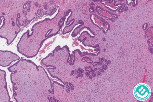
Bệnh ung thư vú dạng nhú
Ung thư vú dạng nhú là một loại ung thư vú xâm lấn hiếm gặp, thường phát triển chậm, tỷ lệ ác tính thấp, dễ hỗ trợ điều trị và tiên lượng tốt. Dưới kính hiển vi, u vú dạng nhú xuất hiện với những khối u nhỏ giống ngón tay được gọi là sẩn.
Bướu có giới hạn rõ ràng, giống bướu lành tính, hiếm di căn hạch bạch huyết so với các loại ung thư vú khác. Ung thư vú dạng nhú có kích thước nhỏ, đáp ứng tốt với trên 70% dương tính thụ thể estrogen, progesterone hoặc cả hai. Hiếm khi thụ thể Her2 dương tính (13%).
Ung thư biểu mô dạng nhú là dạng hiếm gặp, chỉ chiếm 0,5% trong tổng số các trường hợp ung thư vú xâm lấn mới, ảnh hưởng chủ yếu ở phụ nữ đã mãn kinh. Khối u xuất hiện kèm tiết dịch núm vú, chất dịch màu đỏ 1 bên vú.

Bệnh ung thư vú dạng nhú
Dấu hiệu nhận biết bệnh ung thư vú dạng nhú
Các dấu hiệu nhận biết của ung thư vú dạng nhú cũng giống triệu chứng của những loại ung thư vú khác, gồm:
-
Có khối u dày lên hoặc sưng ở vú.
-
Hạch nách (hiếm).
-
Kích thước hoặc hình dạng vú thay đổi.
-
Tiết dịch núm vú.
-
Núm vú thụt vào trong.
-
Da vú nhăn hoặc lõm xuống.
-
Đỏ hoặc bong tróc da.
-
Đau vú.
Với phụ nữ lớn tuổi, các triệu chứng của bệnh gồm: tiết dịch núm vú ở 1 bên vú, chất dịch màu đỏ hoặc nâu, dù khám lâm sàng, siêu âm, chụp nhũ ảnh có thể không thấy bướu.
Nguyên nhân gây bệnh ung thư vú dạng nhú
Ung thư xảy ra khi có sai sót trong DNA, các tế bào vú bất thường xuất hiện và phân chia, tạo nhiều tế bào có lỗi hơn, từ đó phát triển ngoài tầm kiểm soát và hình thành khối u. Ung thư vú dạng nhú phổ biến ở người sau mãn kinh, đặc biệt phụ nữ trên 60 tuổi, một số trường hợp đã được chẩn đoán u nhú lành tính trước đó hoặc tái phát sau phẫu thuật u nhú lành tính. Ngoài ra, có thể kể đến các yếu tố nguy cơ sau đây:
-
Gia đình có tiền sử mắc bệnh ung thư vú.
-
Những thay đổi di truyền được thừa hưởng như đột biến BRCA1 và BRCA2.
-
Xạ trị vùng ngực trước 10 – 30 tuổi.
-
Có kinh trước 12 tuổi và mãn kinh sau tuổi 55.
-
Dùng liệu pháp hormone sau mãn kinh.
-
Lối sống ít vận động, lạm dụng rượu bia.
-
Thừa cân hoặc béo phì sau mãn kinh.
Bệnh ung thư vú dạng nhú có nguy hiểm không?
Khác với các loại ung thư vú phổ biến hơn, ung thư vú dạng nhú ít ảnh hưởng đến hạch bạch huyết, tiên lượng và đáp ứng tốt với hỗ trợ điều trị. Theo Viện Ung thư Quốc gia Mỹ, thời gian sống sau 5 năm đối với những bệnh ung thư vú 2011 – 2017 được xác định:
Trong đó, ung thư vú dạng nhú hiếm khi di căn, tiên lượng tốt hơn các loại ung thư vú khác. Tiên lượng phụ thuộc vào nhiều yếu tố như:
-
Giai đoạn chẩn đoán.
-
Mức độ ác tính của khối u.
-
Tuổi và sức khỏe tổng thể của người bệnh.
-
Tình trạng thụ thể estrogen và progesterone.
-
Trạng thái HER2.
-
Hạch nách có di căn hay không.

Bệnh ung thư vú dạng nhú có nguy hiểm không?
Chẩn đoán bệnh ung thư vú dạng nhú
Ung thư vú dạng nhú được chẩn đoán giống như các bệnh ung thư vú khác, bao gồm:
Nếu phát hiện ung thư, xét nghiệm hóa mô miễn dịch sẽ giúp xác định tình trạng thụ thể estrogen và progesterone, trạng thái HER2, mức độ ác tính của khối u.
hỗ trợ điều trị bệnh ung thư vú dạng nhú như thế nào?
hỗ trợ điều trị ung thư vú dạng nhú phụ thuộc vào những đặc điểm của bệnh gồm: tình trạng thụ thể estrogen, progesterone; trạng thái HER2; kích thước khối u; mức độ ác tính khối u; tuổi tác; mong muốn của người bệnh,… Các phương pháp hỗ trợ điều trị gồm:
-
Phẫu thuật.
-
Xạ trị.
-
Hóa trị.
-
Liệu pháp hormone.
-
Liệu pháp nhắm mục tiêu.
-
Thuốc Bisphosphonates.
Cách phòng tránh bệnh ung thư vú dạng nhú
Khi được chẩn đoán mắc ung thư vú, người bệnh có thể nảy sinh nhiều cảm xúc khác nhau. Tuy nhiên, đừng quá lo lắng, người thân, bạn bè và bác sĩ sẽ ở bên bạn để hỗ trợ. Với người được chẩn đoán mắc ung thư vú dạng nhú, cần có các biện pháp chăm sóc đúng cách. Ngoài ra, những biện pháp sau đây cũng có tác dụng phòng tránh bệnh ung thư vú dạng nhú:
-
Duy trì lối sống lành mạnh với chế độ ăn uống cân đối, tập các bài tập thích hợp.
-
Tái khám theo chỉ định của bác sĩ để kịp thời phát hiện những biến chứng và kiểm soát khả năng tái phát bệnh.
-
Kết nối với những trường hợp mắc bệnh tương tự bạn để tìm kiếm sự hỗ trợ.
Khám bệnh tuyến vú Nam Định ở đâu tốt?
Phòng Khám Đa Khoa Nam Định được thành lập nhằm mục đích đáp ứng nhu cầu khám chữa bệnh của nhiều người dân trong và ngoài khu vực thành phố Nam Định với các tiêu chí an toàn, hiệu quả và chất lượng. Kể từ khi được thành lập, phòng khám Đa khoa Nam Định đã và đang trở thành lựa chọn hàng đầu mỗi khi bệnh nhân cần khám chữa các bệnh tuyến vú.
Với phương châm đặt sức khỏe của người bệnh lên trên hết, Phòng Khám Đa Khoa Nam Định luôn hướng đến một môi trường y tế thân thiện, hiện đại, mang tầm quốc tế nhưng vẫn đảm bảo phù hợp với “túi tiền” của hầu hết người dân. Cụ thể, khi khám bệnh tại đây, bệnh nhân có thể yên tâm bởi bản thân sẽ luôn được đảm bảo về mọi điều kiện khi thăm khám tại đây.

Khám bệnh tuyến vú Nam Định ở đâu tốt?
Chất lượng khám chữa bệnh Đa Khoa Nam Định
Điều này đã được chứng minh qua số lượt bệnh nhân đến thăm khám tại Đa Khoa Nam Định đang tăng dần đều qua từng ngày. Dù là bệnh nam khoa, phụ khoa, bệnh trĩ hay bệnh xã hội, cũng sẽ được hỗ trợ hỗ trợ điều trị một cách hiệu quả .
Bởi mỗi chuyên khoa tại đây đều được quản lý bởi những chuyên gia y tế có tay nghề cao và nhiều năm kinh nghiệm trong nghề. Hầu hết, họ đều là những y bác sĩ đã từng công tác tại nhiều bệnh viện lớn trên khắp cả nước. Do đó, mà chất lượng khám chữa bệnh tại đây cũng không hề thua kém so với những bệnh viện công lập.
Chất lượng dịch vụ
Chắc hẳn mong muốn chung của bất cứ bệnh nhân nào khi tìm đến một cơ sở y tế tư nhân mà không phải là một bệnh viện công đều là hy vọng được trải nghiệm một dịch vụ tốt hơn, nhanh chóng hơn và cũng thuận tiện hơn. Hiểu được điều này, nên Phòng Khám Đa Khoa Nam Định luôn chú trọng vào tất cả mọi thứ từ khâu tư vấn, đặt hẹn cho đến khám chữa bệnh, tái khám đều được thực hiện một cách khoa học, nhanh chóng và nhận được sự đánh giá rất cao. Người bệnh sẽ không cần phải chờ đợi, xếp hàng lấy số như cơ sở y tế khác.
Cùng với đó là thái độ ân cần, chu đáo, chuyên nghiệp luôn là điều mà người bệnh cảm thấy hài lòng, thậm chí còn dành nhiều lời khen ngợi cho đội ngũ y bác sĩ, nhân viên y tế tại đây.
Đội ngũ bác sĩ Phòng Khám Đa Khoa Nam Định
98% người bệnh trở lại cuộc sống bình thường Bác sĩ tại Phòng Khám Đa Khoa Nam Định được đào tạo bài bản, tốt nghiệp tại các trường đại học danh tiếng trong & ngoài nước. Các bác sĩ với nhiều năm kinh nghiệm luôn nhiệt tình và tận tâm với bệnh nhân.
-
Bác sĩ Trần Văn Thành: Là bác sĩ chẩn đoán hình ảnh, với nhiều năm kinh nghiệm công tác tại Viện y học cổ truyền quân đội. Từng làm giảng viên trường Sĩ Quan Tăng Thiết Giáp.
-
Bác sĩ Đinh Quang Tiến: Bác sĩ chuyên khoa Ngoại. Với năng lực chuyên môn giỏi hiện đang đảm nhận chức vụ Phó giám đốc chuyên môn trung tâm y tế Thanh Liêm.
-
Bác sĩ Nguyễn Văn Tươi: Bác sĩ chuyên khoa Ngoại. Giữ chức vụ trưởng khoa ngoại Bệnh viện y học cổ truyền Lan Q. Được đánh giá “mát tay” trong các dịch vụ khám chữa bệnh, nhận được sự tin tưởng của nhiều bệnh nhân.
-
Bác sĩ Nguyễn Trọng Khang: Bác sĩ sản phụ khoa. Với hơn 30 năm kinh nghiệm trong nghề, Bác sĩ Trọng Khang đã có những đóng góp không nhỏ cho ngành sản phụ khoa. Từng đảm nhận chức vụ trưởng khoa sản trung tâm Y tế Thanh Liêm trong thời gian dài.

Đội ngũ bác sĩ Phòng Khám Đa Khoa Nam Định
Trang thiết bị y tế và cơ sở hạ tầng
Phòng Khám Đa Khoa Nam Định cũng được xếp vào danh sách những phòng khám có quy mô về cơ sở hạ tầng lớn mạnh. Tại đây, được chú trọng đầu tư, xây dựng theo tiêu chuẩn của phòng khám quốc tế. Môi trường phòng khám khang trang, sạch sẽ, hiện đại, tiện ích và không mùi bệnh viện, cũng là một ưu điểm lớn của cơ sở này.
Về máy móc chuyên dùng và trang thiết bị y tế, cũng được các y bác sĩ cho biết là đều được nhập khẩu, với những công nghệ hiện đại . Điều này, giúp cho quá trình khám và chẩn đoán và hỗ trợ hỗ trợ điều trị bệnh tại đây luôn được diễn ra nhanh chóng và hiệu quả.
Vấn đề chi phí
Một cơ sở y tế phải đảm bảo được mức chi phí hợp lý, minh bạch, rõ ràng thì mới có thể nhận được sự tin cậy, tìm đến từ người bệnh. Theo đó, khi đến với Phòng Khám Đa Khoa Nam Định, người bệnh sẽ được hỗ trợ tham khảo cụ thể về mức chi phí hỗ trợ điều trị bệnh của mình. Đồng thời, mọi chi phí tại đây đều đã được sự thẩm định của Bộ y tế, trước khi đưa vào áp dụng.
Do đó, dù chất lượng dịch vụ được đánh giá rất cao, nhưng mức chi phí cũng được người bệnh nhận định là hợp lý. Hơn thế nữa, tại đây, người bệnh còn có thể tham khảo cụ thể về mức chi phí hỗ trợ điều trị bệnh trước khi tiến hành, thông qua sự hỗ trợ trực tiếp từ các y bác sĩ. Điều này, đã góp phần tạo sự tin cậy cho người bệnh, cũng như giúp họ an tâm hơn trong quá trình hỗ trợ điều trị bệnh lý của mình.
Địa chỉ: 181 Song Hào, Văn Miếu, TP.Nam Định, Nam Định.
Hotline: (0228) 730 6888 (Tư vấn miễn phí 24/7).
Thời gian làm việc: 8h – 20h (Tất cả các ngày trong tuần).
">